Pular para o conteúdo

Bronquiectasias: Doenças Respiratórias – Dr. Luiz Ronaldo | Saiba mais

  • por
  • posts

Bronquiectasia e Infecções Respiratórias de Repetição

Hoje vamos falar sobre a bronquiectasia e as infecções respiratórias de repetição. Antes de abordar essas doenças, é importante entendermos o sistema respiratório.

O sistema respiratório começa desde a ponta do nariz, passando pela faringe, pela laringe e pela traqueia, até alcançar os brônquios principais, bronquíolos e os alvéolos pulmonares. Toda essa região é revestida por uma mucosa que produz muco, uma secreção que ajuda na limpeza da área respiratória. Além disso, os cílios pulmonares também desempenham um papel importante na eliminação de impurezas presentes no ar.

No entanto, em casos de infecção ou inflamação, como pneumonia, bronquite ou resfriado, pode haver alterações na estrutura dos brônquios. Essas alterações podem levar à bronquiectasia, que é a dilatação e deformidade dos brônquios. Apesar de ser tratada e curada a infecção, a deformidade persiste e pode causar acúmulo de secreção na região, levando a infecções de repetição.

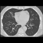
Para diagnosticar a bronquiectasia, o médico realiza o exame de ausculta pulmonar e pode detectar a presença de secreção em áreas específicas. Além disso, a tomografia computadorizada de tórax é um exame frequente para observar as áreas afetadas. Dependendo da extensão e dos sintomas, o tratamento pode ser clínico, com foco no controle das infecções, ou cirúrgico, em casos mais graves, como sangramento recorrente.

Além da bronquiectasia, outras condições podem levar a infecções respiratórias de repetição. Estreitamentos dos brônquios, obstruções causadas por corpos estranhos ou tumores, e acúmulo de secreção também podem levar a pneumonias recorrentes. É importante procurar um médico ao primeiro sinal de infecção e seguir as orientações para evitar recidivas.

No caso da bronquiectasia e das infecções respiratórias de repetição, é fundamental realizar um diagnóstico preciso através de exames específicos e seguir o tratamento adequado prescrito pelo médico. Medidas simples, como manter-se hidratado e evitar infecções, também podem ajudar a prevenir recorrências.

Em resumo, a bronquiectasia e as infecções respiratórias de repetição são condições que necessitam de atenção médica adequada. É fundamental estar atento aos primeiros sintomas e buscar tratamento o mais rápido possível para evitar complicações e recidivas.

Fonte: Bronquiectasias | Doenças Respiratórias | Dr. Luiz Ronaldo por Dr. Luiz Ronaldo