Pular para o conteúdo

Pneumonias Virais em Pediatria: Aspectos em Imagem do Tórax e COVID-19 – Videoaula Fleury Med

  • por
  • posts

Conversando sobre os aspectos de imagem do tórax nas pneumonias virais e por COVID-19 em pediatria

Olá, meu nome é Rodrigo Regaccini e sou radiologista pediátrico. Gostaria de convidá-los para uma conversa sobre os aspectos de imagem do tórax nas pneumonias virais e por COVID-19 em pediatria. Atualmente, sou coordenador médico da radiologia pediátrica do Grupo Fleury e professor adjunto e chefe da disciplina de diagnóstico por imagem pediátrica da Unifesp Escola Paulista de Medicina.

A avaliação do tórax é feita através de radiografias de tórax, tomografias de tórax e, mais recentemente, a ultrassonografia do pulmão tem sido bastante utilizada na avaliação de doenças no parênquima pulmonar. Os vírus são as causas mais comuns de infecção respiratória em pediatria.

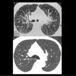
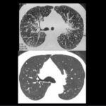
Na tomografia de tórax, podemos identificar os achados de pneumonias virais, como consolidações multifocais, opacidades em vidro fosco, espessamento de paredes brônquicas e nódulos centrolobulares. Esses padrões podem variar de acordo com a etiologia da infecção. Por exemplo, o vírus da varicela-zoster pode apresentar um padrão específico, o citomegalovírus pode apresentar outro e assim por diante.

Também é importante mencionar a COVID-19. Em crianças, os sintomas costumam ser mais leves e a doença pulmonar é menos extensa do que em adultos. A evolução para doença grave também é menos comum. A coinfecção (presença de outros agentes infecciosos além do coronavírus) é relativamente comum, ocorrendo em cerca de 40% dos casos de COVID-19 em crianças.

Recomenda-se a realização de tomografia de tórax em casos moderados ou graves, na presença de limitações laboratoriais e quando há dúvidas sobre o diagnóstico. Já em casos leves, a tomografia não é recomendada, a menos que haja fatores de risco significativos ou ausência de melhora clínica durante o tratamento. É importante ressaltar que a decisão de realizar exames de imagem deve levar em consideração múltiplos fatores e deve ser discutida entre o radiologista e o pediatra responsável pelo caso.

A ultrassonografia do pulmão, além de ser utilizada para avaliação de derrame pleural, também pode ser útil na avaliação do parênquima pulmonar. Através deste exame, é possível identificar linhas pleurais e outras alterações que podem indicar edema pulmonar, consolidacões ou vidro fosco.

Quanto à tomografia de ultra-baixa dose, é um exame disponível em alguns laboratórios e que utiliza uma dose extremamente baixa de radiação. Esse tipo de tomografia pode ser útil em casos de recém-nascidos ou pacientes crônicos, já que, além de proporcionar uma excelente qualidade de imagem, a dose de radiação é significativamente menor. Isso permite uma maior flexibilização nas indicações deste tipo de exame.

Espero ter esclarecido alguns pontos sobre os aspectos de imagem do tórax nas pneumonias virais e por COVID-19 em pediatria. Estou à disposição para discutir casos e realizar exames quando necessário. Fico à disposição e agradeço a atenção de todos!

Contato:

Fonte: Videoaula Fleury Med – Pneumonias Virais e COVID-19 em Pediatria: Aspectos em Imagem do Tórax por Fleury Medicina e Saúde