Pular para o conteúdo

Hidrocefalia: do nascimento ao diagnóstico – tudo que você precisa saber

  • por
  • posts

Bem-vindos ao nosso canal

Olá! Sou evangélica e mãe de três meninas. Hoje, vou falar sobre o nascimento da Helena e o seu diagnóstico de hidrocefalia. Fiquem aqui com a gente e compartilhem esse vídeo com seus amigos!

O Nascimento de Helena

Aos 38 anos, eu fiquei grávida de Helena. A gestação foi tranquila, sem nenhuma alteração nos exames. Com 30 semanas, comecei a sentir algumas dores na barriga, mas não era algo de emergência. Com 35 semanas, durante a madrugada, minha bolsa estourou. Era um dia quente, e todos estavam dormindo juntos no mesmo quarto por causa do ar condicionado.

Nesse momento, eu estava com minha afilhada, minhas duas filhas e meu marido. Eu levei um tempo para entender o que estava acontecendo e não sabia o que fazer, porque minha bolsa tinha estourado e estava saindo muito líquido. Liguei para o médico particular, mas ele não podia fazer o parto de emergência. Então, liguei para a “Cegonha Carioca”, um serviço que leva gestantes para a maternidade. Meu marido também foi chamado. Ele chegou antes da cegonha, o que foi um alívio para mim.

É muito importante fazer o pré-natal corretamente e ficar atento aos detalhes. Também é necessário vacinar o bebê prematuro, o que pode ser feito tanto no SUS quanto na rede particular.

Diagnóstico de Hidrocefalia

Planejávamos fazer uma laqueadura após o parto, por isso estávamos no hospital particular. Porém, Deus tinha outros planos para nós. Chegamos à maternidade e o atendimento foi rápido. Helena nasceu através de uma cesariana e, logo após o nascimento, os médicos perceberam que ela não estava respondendo. Fizeram todo o procedimento para estimular o choro dela, mas ela não chorava.

Nesse momento, recebemos a notícia de que Helena precisava ser levada rapidamente para a UTI, pois seu estado era grave. Fomos informados de que havia uma infecção, mas não sabiam exatamente qual era. Foi um choque para nós.

A médica que nos atendeu na UTI foi um anjo na vida da Helena e na nossa. Ela não saiu do lado de Helena um segundo sequer. Infelizmente, Helena não estava reagindo, mas os médicos continuaram tratando a infecção como se fosse uma meningite.

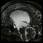
Após 14 dias de tratamento com antibióticos, Helena começou a reagir. Ela foi transferida para outra ala do hospital e seu perímetro cefálico começou a aumentar rapidamente. Foi então que recebemos o diagnóstico de hidrocefalia.

Hidrocefalia é o acúmulo de líquido dentro do cérebro, nas cavidades chamadas ventrículos. Helena precisava de uma cirurgia urgente para tratar a hidrocefalia grave causada pela meningite.

É importante ter cuidado ao procurar informações sobre doenças e diagnósticos. Eu tive um choque ao pesquisar sobre hidrocefalia, então tenham cautela para não passarem por momentos difíceis desnecessários.

Conclusão

Eu decidi criar esse canal para mostrar que há muitas possibilidades e que o diagnóstico não é um destino. Se gostaram desse vídeo, se inscrevam no canal, deixem seu like e compartilhem nossa história. Muitas pessoas precisam ouvir histórias positivas também.

Um abraço!

Fonte: Do nascimento ao diagnóstico de Hidrocefalia por Especiais (Hidrocefalia e família)