Pular para o conteúdo

Entenda mais sobre a Celulite Orbitária – Sintomas, Causas e Tratamentos


Metade já está por aqui a ele vai trazer pra gente quando ela já tinha anunciado um caso pouco conhecido mas bastante grave. É a celulite dos olhos e eu sinceramente não conhecia. Não havia é nunca tinha ouvido falar sobre esse caso. O que essa doença eu também fiquei sabendo quando a gente preparou a reportagem Nelson, porque realmente é uma doença muito pouco comum, mas ela é super perigosa. É uma infecção que dá nos olhos e um levantamento da Sociedade Portuguesa de Pediatria aponta que 70% dos casos as crianças são as mais atingidas.
Esse problema é tão grave que pode evoluir até a cegueira. Aos três anos, a pequena Maria Júlia passa por acompanhamento médico depois de desenvolver uma infecção grave nos olhos. Eu fiquei assustada porque a gente nunca tinha visto isso, foi uma coisa inédita. Ela chorava muito e do irã, a menina foi diagnosticada com celulite nos olhos, é chamada a celulite orbitária, a doença pouco conhecida, mas é tão perigosa que pode evoluir para cegueira. A família dedicou atenção especial à saúde da garota e os cuidados não foram por acaso.
Levantamento da Sociedade Portuguesa de Pediatria aponta que em 70% dos casos as crianças são as mais atingidas. Do total de pacientes, apenas 30% passam por um oftalmologista. Na verdade, é uma complicação de outras patologias que a pessoa acaba não dando valor é necessário acabar negligenciando como a sinusite, maltratada é outras patologias externas na região orbitária e que venha trazer essa gravidade e atinge até o sistema nervoso central que muito tardiamente pode atingir até meningite septicemia.
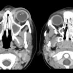
Dados da Secretaria de Saúde de São José do Rio Preto apontam que no município são feitas em média três mil 500 consultas oftalmológicas por mês. A medicina está a favor das pessoas. Tratamento e equipamentos de última geração que possibilitam o diagnóstico precoce e permitem ao médico cada vez mais dizer ao paciente que ele está curado. O tratamento é basicamente clínico. Quando o paciente chega no seu consultório, você vê ele com uma própria vermelha, dolorosa, quente. Aqui, você vê que tem que acionar explosivos que a gente chama de infecção. Alguma coisa está errada ali naquela região, aí então você vai fazer os exames complementares como a tomografia de órbita que aí sim, se for uma patologia de órbita, um abscesso periorbitário, que é mais comum principalmente em crianças, você detecta já no exame. Entre o hemograma, que também vai te mostrar um quadro infeccioso do paciente, que é onde você vai introduzir o tratamento medicamentoso, que antibiótico é o principal. É a causa mais comum da celulite orbitária é a meningite.
Sintomas iniciais apresentam vermelhidão, dor ocular e se desenvolvem para edemas, pálpebras inchadas, olho saltado e dificuldade para abrir e movimentar os olhos. Realmente consegui ver se evolui para o estádio mais tardio ou a intolerância a dor é grande, a dificuldade muito grande e constante. Procure tratamento antes não chega tão tardiamente. A mãe da paciente está aliviada ao ver que a rotina da filha hoje é normal e faz o alerta sobre a importância dos exames preventivos.
Assim que ela pega uma gripinha, a gente corre, principalmente quando pega parte de cima porque a gente já sabe que ela tem, né, a sinusite. Então a gente trata imediatamente pra que não ocorra novamente. Isso é bom. A gente viu na reportagem um exemplo que felizmente terminou bem: a menina tá passando bem, não está mais com o problema, mas é importante lembrar, Nelson, que às vezes a gente pensa: o oftalmologista só na fase da adolescência. Hoje, a nossa fase adulta, as crianças devem ir ao oftalmologista. Assim é muito importante, até como medida preventiva, Nelson. Até porque os sintomas são muito parecidos com várias doenças, então sempre importante o conceito médico para evitar colocar alguma coisa que possa prejudicar. Exatamente, levar a criança cedo ao oftalmologista, como a gente faz com os nossos dentes que a gente começa a cuidar desde cedo. Enfim, a prevenção, eu acho que a palavra-chave de toda essa história, com toda certeza.
Fonte: Celulite que ataca o olho Celulite Orbitária por D’Olhos Hospital Dia