Pular para o conteúdo

Tromboembolismo Pulmonar (TEP): Entenda os Sintomas e Prevenção

  • por
  • posts

Você já ouviu falar de embolia pulmonar? Este é um problema mais comum do que a maioria das pessoas imagina, mas poucos sabem o que é e quando suspeitar dessa condição. Neste texto, vou falar sobre o tromboembolismo pulmonar, também conhecido como TEP, e seus sintomas, fatores de risco, diagnóstico, tratamento e prevenção.

O que é embolia pulmonar?

A embolia pulmonar, ou tromboembolismo pulmonar, ocorre quando um trombo, que é um coágulo, se forma na circulação sanguínea e obstrui o fluxo de sangue em um ou mais vasos dos pulmões. Esses trombos podem se formar em qualquer parte do corpo, mas, na maioria dos casos, são originados nas pernas, em uma condição chamada trombose venosa profunda. O trombo que se solta e viaja até os pulmões é chamado de embolia.

Nosso coração é dividido em dois compartimentos, o lado direito e o lado esquerdo. O lado direito recebe todo o sangue venoso do corpo, que é rico em gás carbônico e pobre em oxigênio, e o direciona para os pulmões, onde ocorre a troca de gases entre o sangue e o ar inalado. Após essa renovação do sangue, ele retorna para o lado esquerdo do coração e é bombeado para todo o nosso corpo. Quando um trombo chega aos pulmões, ele obstrui parcialmente ou totalmente os vasos sanguíneos, prejudicando a oxigenação do sangue e o funcionamento do coração.

Sintomas da embolia pulmonar

Os sintomas da embolia pulmonar podem variar, mas os mais comuns incluem:

  • Cansaço;
  • Falta de ar, principalmente ao fazer algum esforço;
  • Dor no peito, que pode ser uma pontada aguda, uma sensação de opressão ou uma dor mais leve;
  • Tosse, às vezes com sangue;
  • Tontura ou desmaio;
  • Palpitações, indicando um aumento da frequência cardíaca.

É importante destacar que esses sintomas costumam ter início súbito e podem piorar rapidamente. Se você apresentar esses sintomas, especialmente se fizer parte de algum grupo de risco, como ter história prévia de trombose ou embolia, é importante procurar imediatamente atendimento médico de urgência.

Fatores de risco para embolia pulmonar

Existem alguns fatores de risco para o desenvolvimento de embolia pulmonar, sendo os principais:

  • Idade avançada;
  • Histórico prévio de trombose ou embolia;
  • Diagnóstico de câncer;
  • Tabagismo;
  • Obesidade;
  • Histórico familiar de trombose ou embolia;
  • Doenças crônicas, como doença cardíaca ou doença pulmonar obstrutiva crônica;
  • Medicamentos, como alguns quimioterápicos e contraceptivos orais.

Além desses fatores, situações como trauma, cirurgias e viagens de avião prolongadas também aumentam o risco de embolia pulmonar.

Diagnóstico e tratamento

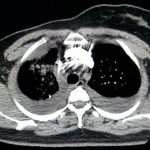
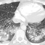
O diagnóstico de embolia pulmonar é feito com base na suspeita clínica e na realização de exames complementares. O principal exame para confirmar o diagnóstico é a angiotomografia de artérias pulmonares, um tipo especial de tomografia de tórax com contraste. Outros exames, como cintilografia pulmonar, ultrassom e angiografia, também podem ser utilizados.

O tratamento da embolia pulmonar é baseado no uso de anticoagulantes, que impedem o crescimento do trombo e previnem a formação de novos coágulos. Esses medicamentos podem ser administrados por via intravenosa, subcutânea ou oral, e o tempo de tratamento varia de acordo com cada caso.

Em casos mais graves, outras opções de tratamento, como o uso de trombolíticos intravenosos para dissolver o trombo ou a cirurgia de embolectomia pulmonar por cateterismo, podem ser indicadas em situações muito específicas.

Prevenção da embolia pulmonar

Para prevenir a embolia pulmonar, é importante tomar algumas medidas, como:

  • Parar de fumar;
  • Manter um peso saudável;
  • Evitar sentar por longos períodos de tempo, principalmente em viagens de avião;
  • Usar meias elásticas de compressão durante viagens prolongadas;
  • Evitar o uso de sedativos durante viagens prolongadas;
  • Quando internado em hospitais, cobrar das equipes médicas o uso de profilaxia, como meias elásticas ou compressão pneumática intermitente.

Se você estiver em risco de desenvolver a embolia pulmonar, converse com seu médico sobre a possibilidade de utilizar medicamentos preventivos ou outras estratégias de prevenção.

É fundamental suspeitar de embolia pulmonar diante dos sintomas mencionados e procurar assistência médica imediata. O diagnóstico precoce pode salvar vidas.

Fonte: TROMBOEMBOLISMO PULMONAR (TEP):O QUE É? SINTOMAS E PREVENÇÃO por DOUTOR AJUDA