Pular para o conteúdo

Fibrose Pulmonar Idiopática: Conheça mais sobre essa doença em uma palestra informativa

  • por
  • posts

Pessoal, obrigado pelo convite e pela oportunidade de estar aqui com todos vocês. Vamos conversar um pouco sobre doenças respiratórias crônicas em idosos, que representam um problema normalmente subestimado. Eu sou professor da Faculdade de Ciências Médicas da Santa Casa de Teremalgumas e já disponibilizei algumas informações em formato no Hospital Samaritano de São Paulo.

Então, a doença respiratória é um grande desafio para os idosos, pois este grupo é considerado de risco para esses problemas. Para brincar um pouquinho, vamos imaginar um bonito sapão. Essa brincadeira divertida pode representar uma dificuldade para algumas pessoas, que sentem cansaço e esforço ao soprar as bolinhas de sabão. Isso muitas vezes está relacionado com doenças respiratórias nos idosos.

No Brasil, estamos observando um crescimento acelerado da população idosa. Estima-se que por volta de 2035, o número de idosos seja maior que o número de crianças no país. Será que estamos preparados para enfrentar essa grande demanda de cuidados? Esse é um grande desafio que temos, pois as doenças respiratórias tendem a aumentar sua incidência durante o envelhecimento.

Muitas vezes, as pessoas associam o envelhecimento com a perda de capacidade, falta de ar, cansaço e fadiga, interpretando esses sintomas como algo normal. Porém, nem sempre é verdade. Meu pai, por exemplo, vai fazer 80 anos em janeiro e agora está pensando em se aposentar. Ele foi homenageado há dois meses no Conselho Regional de Contabilidade como um dos contadores mais antigos de São Paulo. Isso mostra que as pessoas não percebem que é possível envelhecer de forma saudável e ativa.

Muitas vezes, as pessoas negligenciam esses sintomas, acreditando que fazem parte do envelhecimento. Por exemplo, algumas pessoas podem apresentar cansaço e falta de ar ao realizar atividades simples, como subir uma escada. Isso muitas vezes dificulta o diagnóstico de algumas doenças respiratórias, como a Doença Pulmonar Obstrutiva Crônica (DPOC).

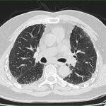
Você já ouviu falar sobre a Fibrose Pulmonar Idiopática? Acredito que a maioria das pessoas nunca tenha ouvido falar sobre essa doença. A Fibrose Pulmonar Idiopática é uma doença rara e grave, em que as células dos pulmões começam a cicatrizar de forma desconhecida. Isso faz com que as paredes das células fiquem mais rígidas e encolham, dificultando a respiração e levando a sintomas como cansaço e falta de ar.

Infelizmente, não conhecemos a causa dessa doença, mas sabemos quais são suas consequências. Pessoas com fibrose pulmonar podem ter uma limitação cada vez maior, ficando cada vez mais fracas e com fadiga. Alguns casos podem evoluir de forma muito rápida, levando à morte.

É por isso que o diagnóstico precoce é fundamental. Quanto mais cedo a doença for diagnosticada, mais cedo poderemos começar o tratamento, que pode retardar a progressão da doença e melhorar a qualidade de vida do paciente. Além disso, o apoio da família e dos amigos é fundamental nesse processo.

Na próxima semana, teremos a Semana Mundial da Saúde Pulmonar. Vamos lembrar que soprar bolinhas de sabão pode representar sonhos e esperança para as pessoas que sofrem com doenças respiratórias. Vamos trabalhar juntos para que cada vez mais pessoas possam viver mais e viver melhor.

Agradeço a atenção de todos.

Fonte: SAIBA O QUE É A FIBROSE PULMONAR IDIOPÁTICA – palestra por Dr. Mauro Gomes