Pular para o conteúdo

Bronquiectasia: sintomas, causas e tratamento da doença pulmonar

  • por
  • posts

Oi, oi pessoal! Tudo bem com vocês? Eu estou aqui de novo para gravar o vídeo sobre bronquiectasia. Já tem um tempo que outras pessoas já sabem que tenho esse problema e já gravei outros vídeos aqui no canal. Eu acabei escrevendo porque vai ser melhor para entender, já que estava muito misturado e um pouco difícil de compreender.

Hoje quero fazer um vídeo bem completo, contando minha trajetória e também explicando para vocês sobre essa condição. Para começar, quero explicar que bronquiectasia é uma doença irreversível, ou seja, não tem cura. É uma dilatação dos brônquios e bronquíolos, que são lugares onde passa o nosso ar. Quando isso acontece, aquela parte que está afetada não funciona mais.

Os médicos acreditam que adquiri bronquiectasia logo após o nascimento. Quando eu nasci, tive uma infecção muito grave no pulmão, e eles acreditam que isso pode ter deixado sequela para bronquiectasia. Essa infecção foi tão séria que minha mãe teve que passar toda a quarentena dela no hospital, ficando assim, sozinha comigo. Meu pai trabalhava fora, então foi um momento bem difícil para eles, mas foi passando.

Lembro que eu tinha bastante infecção, febre, e meus pais sempre me levavam ao médico quando criança. Fui em consultórios pediátricos e até em especialistas, mas nunca fiz uma tomografia para entender melhor. Fui tratada normalmente como se fosse asma ou bronquite asmática, como uma palavra só. A tosse sempre me acompanhava, mas eu não fazia tratamento nenhum, só me tratava quando estava doente.

Depois que cresci, já adulta, as coisas mudaram. Fui para o hospital Colombo fazer um raio-x e o médico disse que eu estava com uma infecção, já que tinha ido com tosse também. Eu achei estranho, pois ele não me deixou ir para casa. Depois disso, fui no clínico geral e bateu raio-x novamente, para ver como estava. Ele detectou como uma bolinha, mas não lembro direito em qual lado. Ele me encaminhou para uma especialista, que pediu uma tomografia.

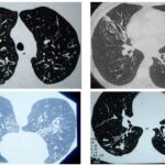
Foi a primeira vez que fiz uma tomografia, há dez anos atrás. Fiquei apreensiva para saber o resultado. Ela disse que o resultado mostrava uma cicatriz, e que era por isso que apareceu aquela bolinha na tomografia. Ela falou que eu tinha bronquiectasia no lobo médio e superior esquerdo. Ela me liberou e passou tratamento, mas não fiz fisioterapia na época. Eu não sabia o que era bronquiectasia e ela não explicou direito. Achava que era só bronquite ou uma infecção.

Essa bronquiectasia deu trabalho e continuei sentindo muita febre. Depois de um tempo, engravidei e a minha menina tinha dois anos e meio. Tive problemas, mas graças a Deus ela nasceu saudável. Isso vou contar em outro vídeo, porque aqui ficará muito misturado. Depois que melhorei, fui em outra pneumologista, que me acompanha até hoje. Ela me deu o tratamento para a vida toda.

Agora estou usando a bombinha três vezes por dia e faço exames regularmente. Ela me acompanha sempre e me ajuda quando estou me sentindo mal. Estou sendo bem amparada. Se eu precisar trocar de médica, tenho que fazer uma receita para nova tomografia, pois vimos que meu lobo médio estava todo comprometido. Ele estava até diminuído, pois tinha muita bronquiectasia. Por causa das infecções recorrentes, talvez faça outra cirurgia, mas ainda não sei ao certo. Tudo está nas mãos de Deus.

Para alegrar minha vida toda, comprei um aparelhinho que me ajuda a respirar melhor. Ele possui uma bolinha dentro e quando você sopra, ela vibra e ajuda a soltar a secreção. Isso me ajuda bastante, mas é importante lembrar que nem todas as pessoas podem usar. É necessário falar com um fisioterapeuta ou médico para saber se pode ser usado. Eu acredito que foi minha trajetória, espero ter ajudado alguém a não se sentir sozinho. Não se desespere por causa da bronquiectasia. Estamos juntos nessa! Um beijo e até mais!

Fonte: Eu tenho Bronquiectasia por Débora kanarek