Pular para o conteúdo

5 sinais de congestão no tórax e eventração diafragmática: o que saber

  • por
  • posts


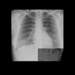
o paciente apresenta uma clavícula desviada para a direita, o que pode indicar um desvio causado por uma rotação do paciente. É importante considerar o contexto do paciente, como histórico de câncer de pulmão, que pode justificar uma atelectasia por obstrução brônquica. No entanto, se não houver justificativa para um desvio traqueal central, é possível que seja um artefato devido à rotação do paciente. É essencial pensar no porquê de cada observação e raciocinar antes de escrever um laudo.
Além disso, é mencionada a presença de uma fissura horizontal mais evidente que o normal, o que pode ser um indício de atelectasia. Também é observado um índice cardiotorácico aumentado e um coração que não cabe nos dois hemitórax, sugerindo congestão. O alongamento da aorta também é identificado, o que é mais comum em idosos. O duplo contorno e o sinal da Bailarina no coração indicam aumento do átrio esquerdo.
Outra observação é a presença de uma massa na região do diafragma, mas é importante saber que isso pode ser uma tração da fáscia diafragmática e não necessariamente um tumor. Essa é uma das armadilhas da radiologia, pois uma pessoa sem experiência pode confundir a tração com uma lesão maligna.
Por fim, é mencionada a presença de uma variação do normal, chamada de “irmãozinho”, na região diafragmática direita, que é uma proeminência de contorno normal. Essa ocorrência é mais comum à direita.
Fonte: SINAIS DE CONGESTÃO NO TÓRAX E EVENTRAÇÃO DIAFRAGMÁTICA por Você Radiologista com João Paulo Queiroz